Many parents are confused by the mixed messages they receive regarding the best time to seek orthodontic treatment for their child. Should they see an orthodontist when their child still has their baby teeth or wait until all the permanent teeth have erupted? At what age should their child start treatment? What types of problems need treatment early and which can wait until their child is older? The answer to these questions is that there is not one best age/time to start treatment because each child presents with their own unique problems and will need a custom treatment plan to fit their needs. Our goal as orthodontists is to provide each patient with the most appropriate treatment at the most appropriate time.
The American Association of Orthodontics recommends that all children have an orthodontic check-up by age 7. This is because, at this age, a child has reached several key dental and skeletal growth landmarks.
- The 6 year molars have erupted. This allows the orthodontist to evaluate the bite.
- Substantial growth in the width, height and front to back directions for the upper and lower jaws have taken place, but the child still has sufficient growth potential left to allow the orthodontist to modify the growth pattern if not ideal.
- The front teeth are starting to come in and the orthodontist can evaluate for problems such as crowding, open bites, deep bite, and asymmetries in the face, teeth and bite. (See explanation and pictures below)
- Habits such as thumb sucking, finger sucking, tongue thrusting, or mouth breathing can be identified and corrected to avoid deleterious effects on the growth of the jaws.
As orthodontists, our goal is to provide a healthy, attractive smile at any age, but it is easier to attain a balanced, stable, functional and healthy bite in a child, who has sufficient growth potential available to make it all happen! Orthodontists do not just move teeth, we are also facial orthopedists, utilizing the patient’s growth potential to optimally position the jaws so that the erupting teeth will drop into the best possible position. So the answer to the question, “when should my child first see the orthodontist” is complex because it varies from child to child, but it is advised by age 7 to have an orthodontic evaluation. Your family dentist is also a good reference and can tell you when it would be a good time for your child to be seen.
Here are some of the most common orthodontic problems in children that require early treatment:
ANTERIOR CROSSBITE / UNDERBITE

The lower front teeth are biting out in front of the upper front teeth. This can be damaging to the health of the gums of the teeth in crossbite, as well as to the bite. This may occur because the teeth are erupting into an incorrect position or if the lower jaw has outgrown the upper jaw. Often this results from an upper jaw that is too small and too narrow to match with the size of the lower jaw. This causes heavy biting forces on the back teeth resulting in premature bone and tooth loss, as well as jaw joint dysfunction. If not treated in a growing child, a crossbite will usually require corrective jaw surgery in the late teens or early adulthood.
POSTERIOR CROSSBITE

The upper back teeth on one side are biting on the inside of the bottom teeth on that same side. This causes the growing lower jaw to position itself to one side and may cause a permanent asymmetry to the bite and to the face, if left untreated. Some studies have shown that an untreated crossbite can be a contributing factor in jaw joint problems in an adult.
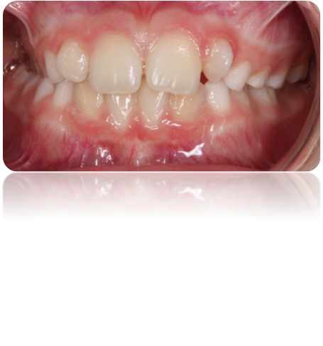
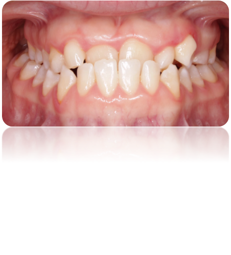
CROWDING

There is not enough room for all of the lower teeth in the arch resulting in crowding. Crowding not only looks unsightly, but it is also becomes a problem since it is not possible to clean properly around these teeth. Poor oral hygiene will result in gum bleeding, bone loss and ultimately, tooth loss.
OPEN BITE

An open bite is often associated with habits such as thumb or finger sucking, mouth breathing or with disharmonious growth between the upper and lower jaw. This leads to heavy biting forces on the back teeth only, instead of evenly distributed in a healthy bite. The uneven distribution of forces may result in gum and bone loss around the back teeth, tooth fracture, early tooth loss and future TMJ dysfunction. Open bite patients may have associated speech problems.
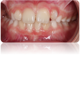
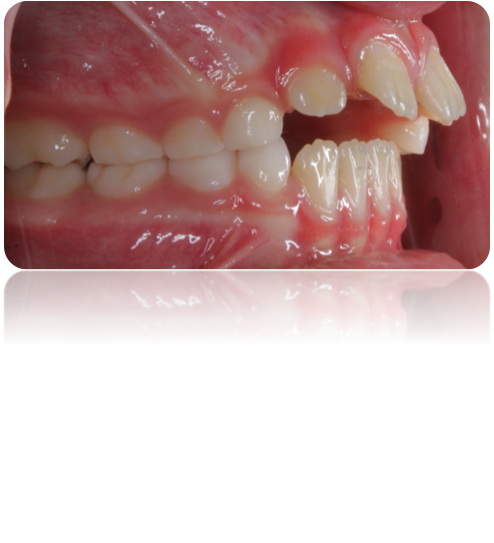
PROTRUSION OF THE TEETH OR “OVERBITE”

Teeth which are protruding are not just esthetically unpleasing, they are prone to trauma. What a heartache it is to see that patient in our office with their front teeth broken off because of a fall or a sports injury. This protrusion may be due to a thumb or finger habit or an underdeveloped lower jaw. Children with upper tooth protrusion are commonly very self-conscious of their appearance.
Content Provided by:
Mairead M O’Reilly, DDS, MS & Anna R Muench, DDS, MS

