7. The Importance of Replacing Missing Teeth
When it comes to replacing missing teeth, patients always give priority to missing teeth in the front of the mouth because they do not want unsightly gaps to ruin their smile. On the other hand, when the missing teeth are in the back of the mouth, patients frequently delay getting teeth replaced. They often say, “If no one can see, they why bother replacing the tooth?”
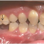
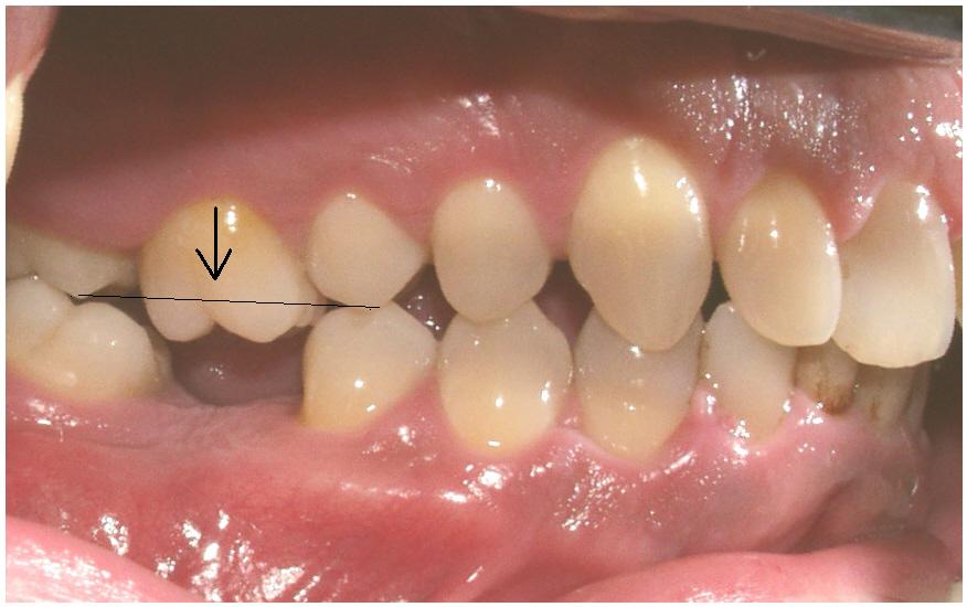
It’s a good question. The answer is that missing teeth cause problems that affect other teeth. Missing teeth cause adjacent teeth to move and shift. Also, missing teeth adversely affect the bite.
A situation that starts out with one missing tooth can lead to problems with many teeth, because the teeth are designed to work together for biting and chewing. When the symmetry is disrupted, biting forces shift and many otherwise healthy teeth are affected.
If you are missing a tooth, please come in for an evaluation and we will discuss your options to replace that tooth and also protect all your teeth and your smile.


